
2023/06/13 来源:尊龙时凯
骨关节炎(Osteoarthritis,,,OA)是一种退行性关节疾病,,,在中老年群体中发病率极高,,,主要表现为关节疼痛及功能障碍。。。。其发病率位列非传染性疾病排名的前10位。。。在中国50岁以上的人群中有8.1%的人为有症状的膝骨关节炎患者,,,,共计3000余万人。。。
本篇总结列出了在人体实验的间充质干细胞用于治疗膝关节炎的进展。。。
1.自体BMSCs治疗膝骨关节炎的初步研究
(Transplantation, 2013)
·参组人数:N = 12人(无对照研究)
·治疗方案:关节腔内注射培养扩增的4*10^7个间充质干细胞BMSCs,,,, 治疗后1年检测结果。。
·研究结果:接受骨髓间充质干细胞治疗的病人,,其膝关节功能指标逐渐改善,,改善率在1年内接近65%至78%,,,,软骨质量也得到改善,,,其中11名病人软骨缺损面积明显减少。。。
下图为该研究的总结,,,,复杂的尊龙时凯就不看了,,,理想的治疗方案是尊龙时凯基本达不到的治疗,,,可以看出间充质干细胞治疗方案比传统方案更加接近理想治疗方案。。
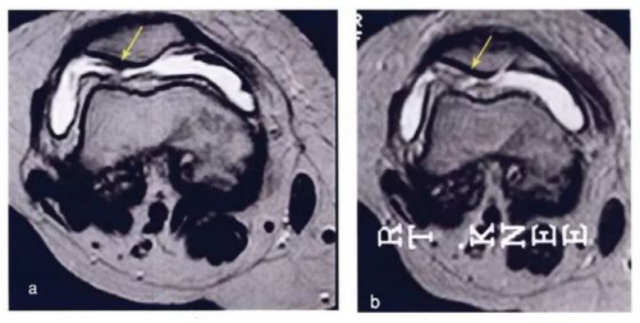
2.自体BMSC治疗膝骨关节炎六例
(Arch Iran Med, 2012)
·参组人数:N = 6人(无对照研究)
·治疗方案:关节腔内注射培养扩增的2~2.4*10^7个间充质干细胞BMSCs,, 治疗后6个月,,,1年检测结果。。
·研究结果:关节内注射骨髓间充质干细胞6个月后,,疼痛、、、功能状态和步行距离均提高。。。6名治疗组中3名患者在治疗前后的MRI比较可以看出,,该治疗对于改善软骨厚度,,,,修复组织延伸超过软骨下骨,,,,以及减少软骨下骨的水肿是非常显著的。。
下图a示意治疗前软骨,,,b为治疗后6个月软骨,,,,箭头所示为软骨修复位置。。。
3.关节内注射两种不同剂量的自体BMSC与透明质酸治疗膝骨关节炎:多中心随机对照临床试验(Ⅰ/Ⅱ期)
(J Transl Med, 2016)
·参组人数:N = 30人(随机对照实验)
·治疗方案:关节腔内注射培养扩增的1*10^7(低剂量组)、、、、1*10^8(高剂量组)个间充质干细胞BMSCs,,, 治疗后3个月、、6个月、、12个月检测结果。。
·研究结果:治疗后VAS评分得到改善,,,WOMAC评分在6个月之后才得到改善。。。治疗后12个月后软骨的体积和质量都得到提高,,并且高剂量组具有更好的改善效果。。。
下图中可以看出通过了间充质干细胞治疗的,,,,不论是低剂量组或者是高剂量组,,,VAS评分(疼痛指标)都是下降的:
4.异体BMSC治疗膝骨关节炎随机对照试验
( Arch Iran Med, 2012)
·参组人数:N = 30人(随机对照实验)
·治疗方案:关节腔内注射培养扩增的4*10^7个间充质干细胞BMSCs,,, 治疗后8天,,3个月,,,,6个月,,,12个月检测结果。。。。
·研究结果:与对照组相比,,BMSCs治疗后疼痛显著降低,,,,膝关节功能指数显著改善,,,,而软骨损伤显著减少。。。。
下图所示,,,,颜色越红代表软骨质量越差。。。。可以看出治疗前(左边)的软骨大部分是黄色,,,治疗后蓝色明显偏多,,,表示间充质干细胞治疗后软骨质量增加。。。。
5.关节内注射自体BMSC对膝骨关节炎患者疼痛及膝关节功能的影响
(Int J Rheum Dis, 2017)
·参组人数:N = 61人
·治疗方案:关节腔内注射10ml的非体外扩增间充质干细胞BMSCs,, 治疗后1周,,,1个月,,6个月检测结果。。。
·研究结果:6个月后,,治疗组在间充质干细胞治疗后膝关节疼痛显著改善,,,生活质量显著提高。。。
6.骨髓吸取浓缩物治疗膝骨关节炎的随机单盲实验
(Am J Sports Med, 2017)
·参组人数:N = 25人
·治疗方案:关节腔内注射5ml的骨髓抽取浓缩物以及10ml的PRP,,, 治疗后1周,,,1个月,,,6个月检测结果。。。。
·研究结果:注射骨髓提取浓缩物之后,,膝关节疼痛明显改善,,但是与盐水对照组比较无明显差异。。。。
7.关节内注射ADSC治疗膝关节炎的临床试验
(Stem Cells. 2014)
·参组人数:N = 18人
·治疗方案:关节腔内注射体外扩增1*10^7(低剂量组),,,,5*10^7(中剂量组),,,,1*10^8(高剂量组),, 治疗后1个月,,6个月检测结果。。
·研究结果:注射脂肪来源的间充质干细胞ADSCs后,,,,膝关节疼痛明显改善,,,,软骨的体积与质量明显增加。。。。
下图可以看出从左往右随着间充质干细胞治疗的变化软骨逐渐得到修复

8.ADSC注射改善膝骨关节炎症状
(Arthroscopy, 2013)
·参组人数:N = 18人
·治疗方案:关节腔内注射1.18*10^6个脂肪间充质干细胞,,连同PRP以及关节镜清扫术,,, 治疗后1个月,,,6个月检测结果。。
·研究结果:WOMAC、、Lysholm和VAS评分在治疗后改善。。。随后的分析显示,,,临床和放射学检查的改善与注射的脂肪干细胞数量有关。。。。
9.ADSC治疗膝骨关节炎的临床疗效及二期关节镜检查
(Arthrosc, 2015)
·参组人数:N = 30人
·治疗方案:关节腔内注射4.04*10^6个脂肪间充质干细胞,,,连同PRP以及关节镜清扫术,,, 治疗后3个月,,12个月,,,以及两年检测结果。。
·研究结果:大多数患者在最终随访中的所有结果测量均有显著改善。。。在第二次关节镜检查中,,,,14个(总共16个)的关节软骨没有退化,,,,只有5例患者的Kellgren-Lawrence评分恶化。。
下图a为治疗前关节镜检查结果,,,可以看出软骨存在缺损。。图b为脂肪间充质干细胞联合PRP治疗,,,,图c为治疗后结果,,,通过间充质干细胞治疗,,,软骨得到了修复。。。

10.关节镜下评价ADSC移植治疗膝骨关节炎软骨损伤
(Am J Sports Med, 2014)
·参组人数:N = 35人
·治疗方案:关节腔内注射3.8*10^6个脂肪间充质干细胞,,治疗后约24-36个月检测结果。。。
·研究结果:ADSCs治疗后能够显著改善膝关节骨性关节炎,,,,BMI越高效果越差。。。
下图中A-C为51岁男性膝关节镜,,,D-F为54岁女性膝关节镜。。。A/D为治疗前,,白色示意软骨,,浅黄色示意裸露的骨。。。。B/E为间充质干细胞注射。。。C/F为治疗后的关节镜检查。。。。
11.髌下ADSC治疗膝骨关节炎
(Knee, 2012)
`参组人数:N = 25人
`治疗方案:关节腔内注射1.89*10^6个脂肪间充质干细胞、、PRP以及联合关节镜清扫,,,,治疗后约3个月,,16个月检测结果。。。
`研究结果:在ADSCs治疗后,,,,疼痛显著减轻,,,,膝关节功能改善。。
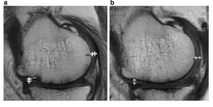
12.膝关节内注射ADSC(SVF)和PRP治疗骨性关节炎
(J Transl Med, 2017)
`参组人数:N = 10人
`治疗方案:关节腔内注射脂肪来源基质成分ADSVF和PRP,,治疗后1周,,1月,,,6月,,,1年,,1.5年,,2年检测结果。。。
`研究结果:治疗后,,,2年后WOMAC评分也得到改善。。。6分钟内步行距离也显著增加。。。60%的病人的软骨体积增加。。
如上图所示,,,,左图为治疗前,,,,右图为治疗后,,,白色“+”处示意软骨增厚。。
13.ADSC治疗严重膝骨关节炎Ⅰ期剂量递增试验
(Stem Cells Transl Med, 2017)
`参组人数:N = 18人
`治疗方案:关节腔内注射2*10^6(低剂量)、、、、10*10^6(中剂量)、、、、50*10^6(高剂量)个脂肪间质基质细胞SVF,,,,治疗后约6个月检测结果。。。
`研究结果:在ADSVF治疗后,,疼痛显著减轻,,,,没有发现不良反应。。
下图是治疗前后的核磁对比,,,,如之前的一样,,,,颜色越蓝,,代表软骨质量越好。。。。可以看出间充质干细胞治疗后软骨质量明显提高。。
14.关节镜下注射SVF注射治疗骨关节炎微骨折的临床观察
(Stem Cells Transl Med, 2016)
·参组人数:N = 30人
·治疗方案:关节腔内注射1*10^6个ADSCs混合SVF以及PRP,,,,治疗后约6个月,,,12个月,,,,18个月检测结果。。。。
·研究结果:治疗组与对照组比较,,,WOMAC评分降低,,VAS和Lysholm评分更高,,,表示膝关节疼痛和功能均得到改善。。
15.ADSC与BMSC在体外骨关节炎模型中软骨生成能力的增强
(J Cell Physiol, 2016)
·参组人数:N = 6人
·实验方案:2.5*10^5个ADSCs与BMSCs在1ml培养基中培养,,1月之后观察。。。
·评价指标:软骨特异性基因 | 炎症因子表达
·研究结果:脂肪来源的间充质干细胞ADSCs比骨髓来源的间充质干细胞BMSCs更具有软骨分化的能力。。。。
版权声明
尊龙时凯尊重分享,,,,文章、、、、图片均来源自网络,,版权归原作者所有。。如有异议,,,,请联系本篇作者(或平台客服),,尊龙时凯会及时处理。。。